Przejdź do zawartości
Klinika implantologii i stomatologii Duodentclinic w Rudzie Śląskiej Logo Klinika implantologii i stomatologii Duodentclinic w Rudzie Śląskiej Logo
  • O NAS
  • STOMATOLOGIA
    • DIAGNOSTYKA
    • PROTETYKA
    • IMPLANTOLOGIA
    • CHIRURGIA
    • LECZENIE KANAŁOWE
  • METAMORFOZY
  • MEDYCYNA ESTETYCZNA
  • CENNIK
    • CENNIK STOMATOLOGIA
    • CENNIK MEDYCYNA ESTETYCZNA
  • KONTAKT
METAMORFOZYKlinikaDuodent2018-11-21T15:05:38+01:00

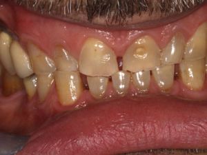
Zadbaj o piękny uśmiech Metamorfozy

Uzupełnienie braku pojedynczego zęba koroną na implancie

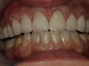
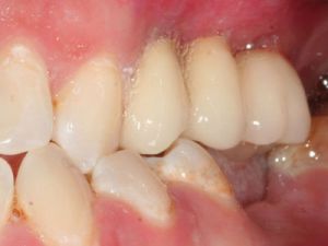
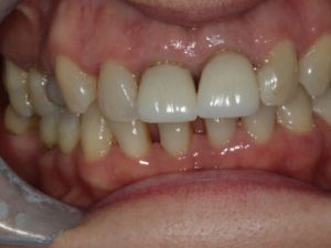
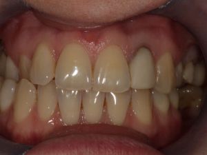
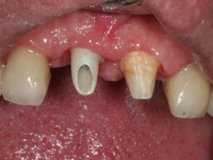
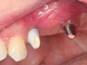
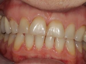
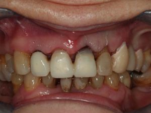
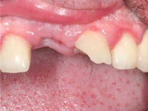
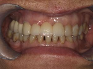
Uzupełnienie braków częściowych mostem na implantach

uzupelnienie-brakow-czesciowych-mostem-na-implantach-przyklad1a uzupelnienie-brakow-czesciowych-mostem-na-implantach-przyklad1b
uzupelnienie-brakow-czesciowych-mostem-na-implantach-przyklad2a uzupelnienie-brakow-czesciowych-mostem-na-implantach-przyklad2b
uzupelnienie-brakow-czesciowych-mostem-na-implantach-przyklad3a uzupelnienie-brakow-czesciowych-mostem-na-implantach-przyklad3b

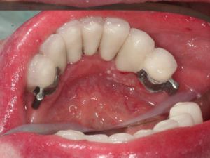
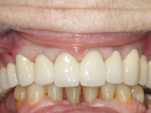
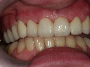
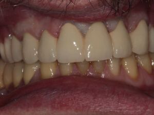
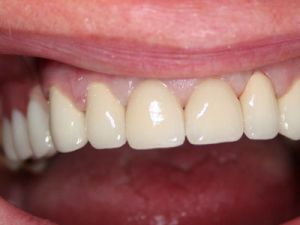
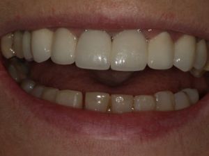
Uzupełnienie bezzębia mostem na implantach

uzupelnienie-bezzebia-mostem-na-implantach-1a uzupelnienie-bezzebia-mostem-na-implantach-1b uzupelnienie-bezzebia-mostem-na-implantach-1c
uzupelnienie-bezzebia-mostem-na-implantach-2a uzupelnienie-bezzebia-mostem-na-implantach-2b uzupelnienie-bezzebia-mostem-na-implantach-2c

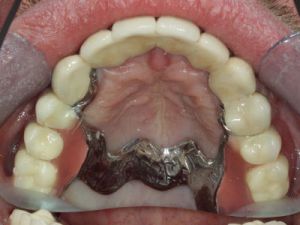
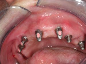
Uzupełnienie bezzębia protezą na belce na implantach

uzupelnienie-bezzebia-proteza-na-belce-na-implantach-1a uzupelnienie-bezzebia-proteza-na-belce-na-implantach-1b uzupelnienie-bezzebia-proteza-na-belce-na-implantach-1c
uzupelnienie-bezzebia-proteza-na-belce-na-implantach-2a uzupelnienie-bezzebia-proteza-na-belce-na-implantach-2b uzupelnienie-bezzebia-proteza-na-belce-na-implantach-2c

Uzupełnienie bezzębia protezą na koronach teleskopowych na implantach

uzupelnienie-bezzebia-proteza-na-koronach-teleskopowych-na-implantach-1a uzupelnienie-bezzebia-proteza-na-koronach-teleskopowych-na-implantach-1b uzupelnienie-bezzebia-proteza-na-koronach-teleskopowych-na-implantach-1c

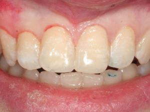
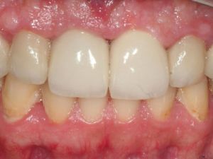
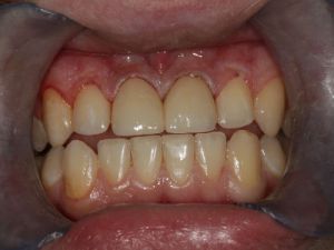
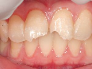
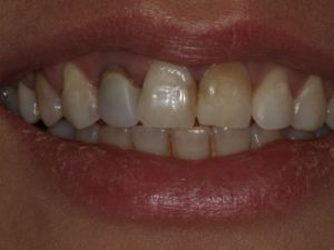
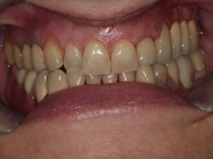
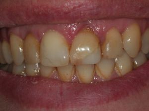
Licówki i korony pełnoceramiczne

licowki-i-korony-pelnoceramiczne-1a licowki-i-korony-pelnoceramiczne-1b licowki-i-korony-pelnoceramiczne-1c
licowki-i-korony-pelnoceramiczne-2a licowki-i-korony-pelnoceramiczne-2b
licowki-i-korony-pelnoceramiczne-3a licowki-i-korony-pelnoceramiczne-3b
licowki-i-korony-pelnoceramiczne-4a

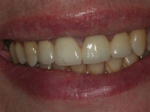
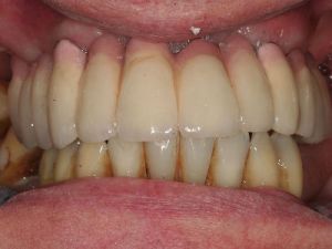
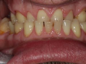
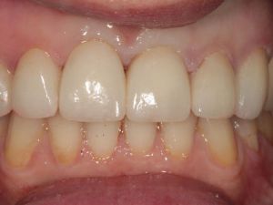
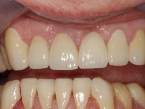
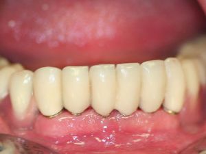
Korony i mosty cyrkonowe

korony-i-mosty-cyrkonowe-1a korony-i-mosty-cyrkonowe-1b
korony-i-mosty-cyrkonowe-2a korony-i-mosty-cyrkonowe-2b
korony-i-mosty-cyrkonowe-3a korony-i-mosty-cyrkonowe-3b
korony-i-mosty-cyrkonowe-4a korony-i-mosty-cyrkonowe-4b korony-i-mosty-cyrkonowe-4c
korony-i-mosty-cyrkonowe-5a korony-i-mosty-cyrkonowe-5b
korony-i-mosty-cyrkonowe-6a korony-i-mosty-cyrkonowe-6b
korony-i-mosty-cyrkonowe-7a korony-i-mosty-cyrkonowe-7b korony-i-mosty-cyrkonowe-7c

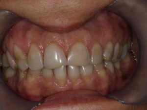
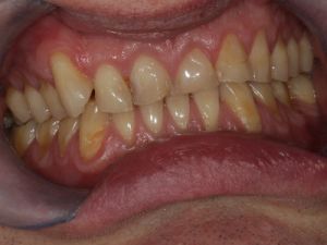
Korony i mosty na metalu

korony-i-mosty-na-metalu-1a korony-i-mosty-na-metalu-1b korony-i-mosty-na-metalu-1c

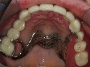
Prace kombinowane na zasuwach

prace-kombinowane-na-zasuwach-1a prace-kombinowane-na-zasuwach-1b
prace-kombinowane-na-zasuwach-2a prace-kombinowane-na-zasuwach-2b prace-kombinowane-na-zasuwach-2c prace-kombinowane-na-zasuwach-2d
prace-kombinowane-na-zasuwach-3a prace-kombinowane-na-zasuwach-3b prace-kombinowane-na-zasuwach-3c prace-kombinowane-na-zasuwach-3d prace-kombinowane-na-zasuwach-3e
prace-kombinowane-na-zasuwach-4a prace-kombinowane-na-zasuwach-4b

Prace kombinowane na koronach teleskopowych

prace-kombinowane-na-koronach-teleskopowych-1a prace-kombinowane-na-koronach-teleskopowych-1b
prace-kombinowane-na-koronach-teleskopowych-2a prace-kombinowane-na-koronach-teleskopowych-2b

WARTO ZOBACZYĆ

  • CHIRURGIA STOMATOLOGICZNA
  • IMPLANTOLOGIA
  • MEDYCYNA ESTETYCZNA
  • METAMORFOZY
  • PROTETYKA

ZABIEGI

  • CHIRURGIA STOMATOLOGICZNA
  • IMPLANTOLOGIA
  • MEDYCYNA ESTETYCZNA
  • METAMORFOZY
  • PROTETYKA

AKCEPTUJEMY PŁATNOŚCI

visa_mastercard-2

ZGŁOŚ WIZYTĘ

© 2017-2026 - Duodent | Opracował: NetCube

Page load link
Ta strona korzysta z ciasteczek aby świadczyć usługi na najwyższym poziomie. Dalsze korzystanie ze strony oznacza, że zgadzasz się na ich użycie.
Przejdź do góry